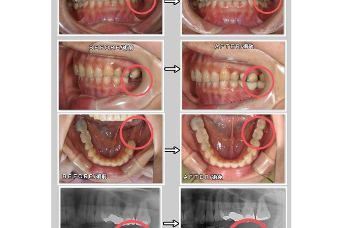
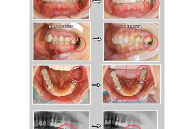
2026.2.9 症例 インプラントの症例 GBR法/骨補填材使用 詳しく見る 2026.1.13 学び インプラント学会の試験受験★ 詳しく見る 2025.12.27 症例 インプラントの症例 詳しく見る 2025.12.13 学び インプラント学会の予備試験受験&インプラント周囲炎の治療セミナー参加☆ 詳しく見る 2025.11.30 症例 インプラントの症例 GBR法/骨補填材使用 詳しく見る 2025.11.20 院内のこと インプラント手術 詳しく見る 2025.11.1 症例 インプラントの症例 GBR法/骨補填材使用 詳しく見る 2025.10.31 学び インプラント のための骨造成セミナーを受講 詳しく見る 2025.10.7 学び インプラント のセミナーに参加してきました 詳しく見る 1 / 3 ページ23次へ »