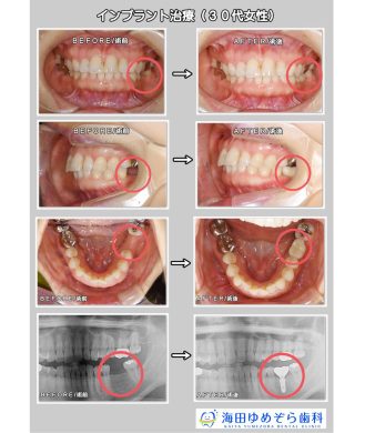
インプラントの症例 GBR法/骨補填材使用
☆治療内容
インプラント
☆治療期間
9ヶ月
☆治療費用
¥440,000×1本 + GBR人工骨\110,000
総額\550,000(税込)
☆リスク
術後の出血、腫れ、痛みの可能性があります

今回はGBRを行ったインプラント治療の症例です。
GBR法とは、インプラント治療において骨が少ない方の場合に、
顎の骨の再生を促して骨の厚みを増やす方法です。
インプラント治療ができない主な原因は、
インプラントを埋め込む部分に十分な骨がないことにあります。
そのような場合の選択肢として、
不足している部分の骨を増やす治療方法があります!!
しかし、高度な技術が必要な難しい治療方法であるため、
インプラントを行う歯科医師であっても全員ができるものではありません。
当院は、16年のインプラント治療経験を持つ
院長がインプラント治療を担当しますので、
「GBR法」と呼ばれる骨を増やす治療のご提供が可能です。
過去にインプラントはできないと言われた方も、
治療できるかもしれませんので、あきらめる前に一度ご相談ください。
******************************
【診療時間】
月・火・木・金・土 9:00~13:00 14:00~18:00
水 休診 祝日のある週は終日診療あり
【休診日】
水・日・祝日
******************************