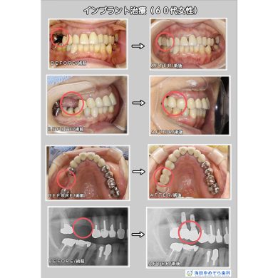
インプラントの症例 GBR法/骨補填材使用
☆治療内容
インプラント
☆治療期間
2年2ヶ月
☆治療費用
¥440,000×2本 + GBR人工骨\110,000
総額\990,000(税込)
☆リスク
術後の出血、腫れ、痛みの可能性があります

******************************
【診療時間】
月・火・木・金・土 9:00~13:00 14:00~18:00
水 休診 祝日のある週は終日診療あり
【休診日】
水・日・祝日
******************************